MasterClass de Estética Dental

Controversias en Cerámicas Dentales 2017: ¿Qué es lo Actual?
Desde la Restauración de Cerámicas Mínimamente Invasivas hastas las Restauraciones Cerámicas Monolíticas Completas

Dr. Edward Mclaren, DDS, MDC

Sala B Auditorio Norte IFEMA
Viernes 10 | 11,00-12,30 h
Asistencia Limitada

MasterClass Precongreso | Incluye Almuerzo

RESUMEN DE LA MASTERCLASS

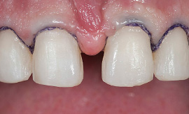
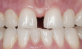
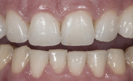
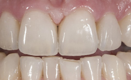
La ponencia se adentrará en la elección según las situaciones clínicas apropiadas de los requerimientos restauradores necesarios de los diferentes sistemas cerámicos, desde los sistemas de cerámica feldespática convencional, cerámicas vítreas, hasta sistemas sólidos con base de óxido de zirconio monofásico sinterizado, tanto estratificados como usando nuevos materiales de óxido de zirconio, más translúcidos, “monolíticos” con mayor presencia defase cúbica.


OBJETIVOS DE LA MASTERCLASS

Conocer los materiales y las indicaciones clínicas para el uso de técnicas conservadoras para restauraciones adhesivas de porcelanas anteriores.

Saber las indicaciones clínicas para las situaciones más agresivas para la colocación de carillas.

Conocer las indicaciones clínicas, materials y técnicas para inlays, onlays y “vonlays”

Uso de nuevas cerámicas vítreas: disilicatos de litio y reforzadas con zirconio para indicaciones de coronas.

Cerámicas con base de óxido de zirconio estratificadas – como solucionar el problema del “chipping” de la porcelana

Conocer los sistemas de zirconio monolítico con mayor presencia de fase “cúbica”

Repasar las impresiones digitales, CAD-CAM en clínica y el concepto DDT

Conocer el estado actual en adhesión, cementos y cementado.

BIBLIOGRAFÍA

Dr. Edward Mclaren

• Especialista en Prostodoncia y Estética Dental por la Universidad de UCLA.  

• Director del UCLA Center for Esthetic Dentistry.  

• Fundador y Director del UCLA/LACC Master Dental Ceramist program.  

• Ejerce práctica privada limitada a la Prostodoncia y Odontología Estética en los Ángeles (USA)

• Es autor del  libro: The Art of Passion: Ceramics, Teeth, Faces, and Places.