MasterClass de Implantología

Restauración Dentoalveolar Inmediata (IDR):
Injertos de Contorno Vestibulares Simultáneos a la Colocación de Implantes y Provisionalización

Dr. Carlos Martins, DDS

Sala A Auditorio Norte IFEMA
Viernes 10 | 11,00-12,30 h
Asistencia Limitada

MasterClass Precongreso | Incluye Desayuno

RESUMEN DE LA MASTERCLASS

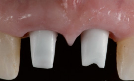
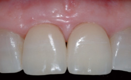
En la ponencia comprenderemos las indicaciones de la técnica de Restauración Dentoalveolar Inmediata Inmediata (IDR) y cómo obtener la estabilidad de los tejidos duros y blandos en alveolos dañados.

Presentaremos una serie de casos clínicos los cuáles muestran una o más corticales alveolares comprometidas en el diente implicado con o sin cambios en el margen gingival, algunos de ellos con hasta 10 años de seguimiento clínico, mediante radiografía y tomografía computerizada.


OBJETIVOS DE LA MASTERCLASS

Conocer el uso del injerto corticoesponjoso tomado de la tuberosidad en la reconstrucción de alveolos con dos o más paredes óseas comprometidas

Conocer el uso del injerto triple en la reconstrucción de los tejidos duros y blandos.

Conocer los conceptos modernos en restauraciones implanto soportadas.

BIBLIOGRAFÍA

Dr. Carlos Martins

• Especialista en Periodoncia por la São Paulo Association of Dental Surgeons – APCD  

• Especialista en Prostodoncia por el Center of Dental Research de Mandic.  

• Doctor en Implantología Oral por el Center of Dental Research de Mandic.  

• Autor del libro Immediate Dentoalveolar Restoration - Immediately loaded implants in compromised sockets”